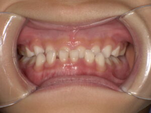
下の歯の前歯が上の歯の前歯に覆い被さっていて、下の歯の前歯がいちばん前にある状態は『反対咬合』と言われる不正咬合の一種です。就学前の小さなお子様がこの状態になる原因は、何らかのクセやきっかけ、習慣などで上下のかぶさりが逆になったことが始まりのことが多いです。遺伝的な要因がない場合、プレオルソという矯正装置を就寝時に使用して治療することで改善します。お子様が、このお写真のような歯並びになっている方はぜひ一度ご相談ください。

user comment….
2025.10.23
下の歯の前歯が上の歯の前歯に覆い被さっていて、下の歯の前歯がいちばん前にある状態は『反対咬合』と言われる不正咬合の一種です。就学前の小さなお子様がこの状態になる原因は、何らかのクセやきっかけ、習慣などで上下のかぶさりが逆になったことが始まりのことが多いです。遺伝的な要因がない場合、プレオルソという矯正装置を就寝時に使用して治療することで改善します。お子様が、このお写真のような歯並びになっている方はぜひ一度ご相談ください。

user comment….